Diese Seite ist nur für Zahnärztinnen und Zahnärzte!

Liebe Kolleginnen, liebe Kollegen,

 

hier möchte ich kurz einige Endo-Fälle vorstellen, damit Sie sich einen Eindruck von meiner Behandlungsweise machen können. In der Bildergalerie habe ich noch einige Abschlussbilder des vergangenen Jahres eingestellt, damit Sie sehen, dass es sich bei den Fallpräsentationen nicht um Eintagsfliegen handelt.

 

Sollten Sie einmal knifflige Endo-Fälle haben, sind Sie herzlich eingeladen diese Fälle an mich zu überweisen.

 

Die Rücküberweisung sichere ich Ihnen zu!

Der Fall des Monats

Paro/Endo Läsion oder Endo/Paro Läsion?

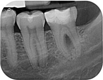
Zahn 38 Aufhellung in der Furkation 07/2012

Zustand nach Wurzelkanalbehandlung 07/2012

 

Beachte Seitenkanal mesiale Wurzel mit Sealerpuff.

Kontrollbild 05/2013

Frontzahntrauma

Revision Zahn 46

Irreversible Pulpitis Zahn 26